治療開始前

治療開始治療開始1年10か月

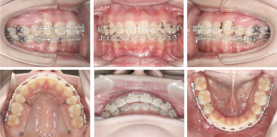
治療終了(治療開始2年6か月)

  • 1.初診時年齢:21歳
  • 2.主訴:上下の真ん中があっていないこと、下の前歯の隙間、上のアーチが大きいように思うこと

  • 3.症例のカテゴリー:空隙歯列、上顎前

  • 4.治療のカテゴリー:本格治療、再治療
  • 5.抜歯:親知らず2本(下顎) ※上下顎小臼歯4本は抜歯済
  • 6.使用装置:唇側(表側)矯正、歯科矯正用アンカースクリュー
  • 7.治療期間:2年6か月

  • 8.治療にかかった費用:1,034,000円(税込) ※旧料金
  • 9.治療の主なリスク・副作用:歯根吸収・歯肉退縮が生じるリスク、むし歯や歯周病が生じるリスク、骨性癒着(アンキローシス)に伴い歯が動かない可能性、歯の神経が壊死する可能性、金属アレルギーによる症状が生じる可能性、顎関節に症状が生じるリスク、後戻りのリスクなど

 小学生〜高校生時代に小臼歯を4本抜歯して治療を行った既往のある患者さんです。お顔に一致している上顎歯列正中に対して下顎歯列正中は左方にずれていて、下顎には隙間が散見されました。1回目の治療に伴う、歯の大きなダメージは認められませんでしたが、左下の抜歯部位では骨が痩せている状態でした。

 治療に先立ち下の親知らず2本を抜歯し、上下顎歯列の形を整え、下顎左側奥歯は少しずつ前方に移動、また上顎歯列は歯科矯正用アンカースクリューを用いて後方に移動させることで、前歯と奥歯の咬み合わせの両方を改善しました。

 患者さんのご協力もあり、大きなトラブルなく治療を終えることができました。

  • 患者さんの治療前の状態はひとりひとり異なります。同じ治療内容であったとしても治療結果には個人差があります。
  • 患者さんご本人(未成年の場合はご家族)の同意を得た写真を使用しております。
  • 画像を含めすべての無断転用を固くお断りいたします。

矯正歯科治療にともなうリスク

  • 痛み・違和感が生じます。
  • むし歯や歯肉炎、歯周病になりやすくなります。
  • 歯根吸収が生じることがあります。
  • 歯肉退縮が生じることがあります。
  • 矯正力を加えても歯が動かないことがあります。
  • 歯の神経にダメージが生じることがあります。
  • 顎関節に症状が生じることがあります。
  • 金属などのアレルギー症状が生じることがあります。
  • 歯の動き方には個人差があります。
  • かみ合わせの調整や歯の形の修正をすることがあります。
  • 諸事情により、途中で治療方針を変更する可能性があります。
  • 装置を外す際に歯に傷ができることがあります。
  • 治療後に指示通りにメンテナンスをしないと後戻りが生じ、再治療が必要となる場合があります。その場合は別途料金算定を行います。
  • 治療後に被せ物などをやり直す必要が生じることがあります。
  • 歯の移動に伴い口元の見え方が変化する可能性があります。
  • 治療を開始すると、治療開始前の状態に戻すことはできません。