


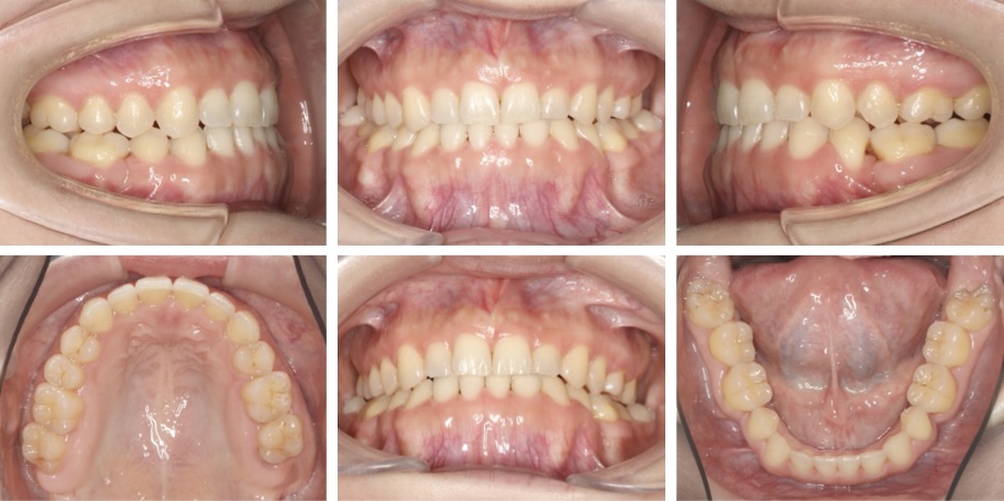
初診時、乳歯が上顎に1本と下顎に2本残っており、同部位の永久歯が生まれつき認められませんでした。乳歯はいずれも永久歯よりも低い位置に埋まっており、それに伴い両隣の永久歯が倒れ込んでいる状態でした。
治療では、残存する乳歯3本と右上の親知らずを1本抜歯して治療を行いました。当初、歯科矯正用アンカースクリューの使用を検討していましたが、患者さんが取り外しのできるゴムの使用を頑張ってくださったため、スクリューを使うことなく予定取りの治療を終えることができました。
大変難しい治療ではありましたが、患者さんのご協力のお陰で、もともとバランスのとれていた口元は変化させず、かみ合わせをしっかり改善することができました。 患者さんは今まで、乳歯の部分はデンタルインプラントやブリッジなど人工物をいれる方針にするか長年悩まれていたそうですが、治療後に「思い切って矯正治療を頑張ってよかった」とおっしゃっていました。