治療開始前

治療開始1年1か月

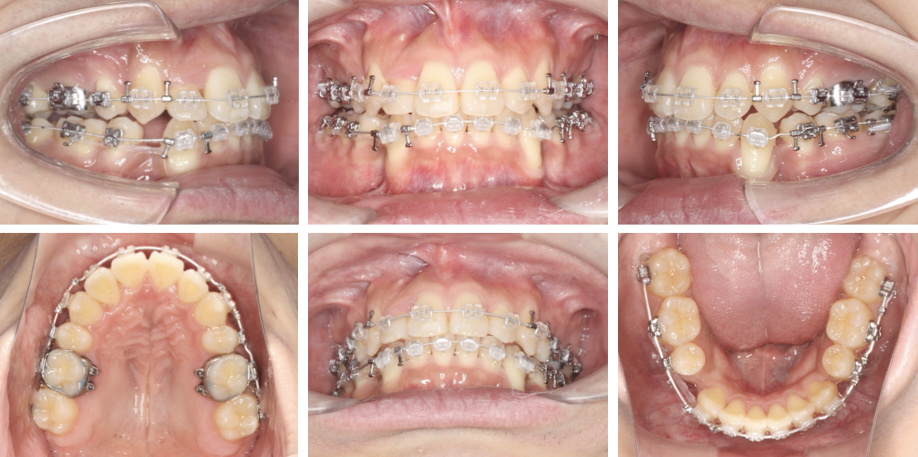
治療終了(治療開始1年11か月)

  • 1.初診時年齢:25歳
  • 2.主訴:上の歯の真ん中が右にずれていること、右上の前歯が内側にあること、八重歯

  • 3.症例のカテゴリー:叢生

  • 4.治療のカテゴリー:本格治療
  • 5.抜歯:6本(上下顎小臼歯4本、上顎の親知らず2本)
  • 6.使用装置:唇側(表側)矯正、トランスパラタルアーチ
  • 7.治療期間:1年11か月

  • 8.治療にかかった費用:1,028,500円(税込) ※旧料金
  • 9.治療の主なリスク・副作用:歯根吸収・歯肉退縮が生じるリスク、むし歯や歯周病が生じるリスク、骨性癒着(アンキローシス)に伴い歯が動かない可能性、歯の神経が壊死する可能性、金属アレルギーによる症状が生じる可能性、顎関節に症状が生じるリスク、後戻りのリスクなど

 初診時、重度の叢生(歯のでこぼこ)を認めました。また叢生に伴い、顔の正中(真ん中)に対して上顎歯列正中は右方に、下顎歯列正中は左方に大きくずれている状態でした。

 叢生を解消すること、上下顎歯列正中を顔の正中と一致させることを目的として抜歯を併用し治療を行いました。

 患者さんの治療への協力度が大変良好でしたので、治療後はきれいな歯並びを獲得し、また今回掲載していませんが顔の正中に上下顎歯列正中がしっかり一致させることもできました。

  • 患者さんの治療前の状態はひとりひとり異なります。同じ治療内容であったとしても治療結果には個人差があります。
  • 患者さんご本人(未成年の場合はご家族)の同意を得た写真を使用しております。
  • 画像を含めすべての無断転用を固くお断りいたします。

矯正歯科治療にともなうリスク

  • 痛み・違和感が生じます。
  • むし歯や歯肉炎、歯周病になりやすくなります。
  • 歯根吸収が生じることがあります。
  • 歯肉退縮が生じることがあります。
  • 矯正力を加えても歯が動かないことがあります。
  • 歯の神経にダメージが生じることがあります。
  • 顎関節に症状が生じることがあります。
  • 金属などのアレルギー症状が生じることがあります。
  • 歯の動き方には個人差があります。
  • かみ合わせの調整や歯の形の修正をすることがあります。
  • 諸事情により、途中で治療方針を変更する可能性があります。
  • 装置を外す際に歯に傷ができることがあります。
  • 治療後に指示通りにメンテナンスをしないと後戻りが生じ、再治療が必要となる場合があります。その場合は別途料金算定を行います。
  • 治療後に被せ物などをやり直す必要が生じることがあります。
  • 歯の移動に伴い口元の見え方が変化する可能性があります。
  • 治療を開始すると、治療開始前の状態に戻すことはできません。