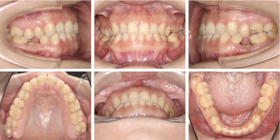
治療開始前

詳細

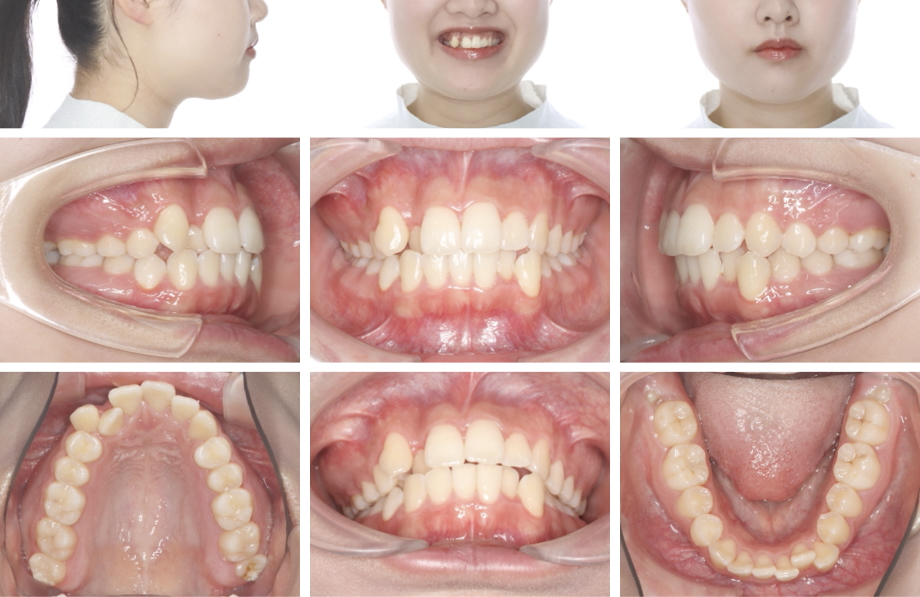
治療開始前

詳細

治療開始前

詳細

治療開始前

詳細
  • 患者さんの治療前の状態はひとりひとり異なります。同じ治療内容であったとしても治療結果には個人差があります。
  • 患者さんご本人(未成年の場合はご家族)の同意を得た写真を使用しております。
  • 画像を含めすべての無断転用を固くお断りいたします。

矯正歯科治療にともなうリスク

  • 痛み・違和感が生じます。
  • むし歯や歯肉炎、歯周病になりやすくなります。
  • 歯根吸収が生じることがあります。
  • 歯肉退縮が生じることがあります。
  • 矯正力を加えても歯が動かないことがあります。
  • 歯の神経にダメージが生じることがあります。
  • 顎関節に症状が生じることがあります。
  • 金属などのアレルギー症状が生じることがあります。
  • 歯の動き方には個人差があります。
  • かみ合わせの調整や歯の形の修正をすることがあります。
  • 諸事情により、途中で治療方針を変更する可能性があります。
  • 装置を外す際に歯に傷ができることがあります。
  • 治療後に指示通りにメンテナンスをしないと後戻りが生じ、再治療が必要となる場合があります。その場合は別途料金算定を行います。
  • 治療後に被せ物などをやり直す必要が生じることがあります。
  • 歯の移動に伴い口元の見え方が変化する可能性があります。
  • 治療を開始すると、治療開始前の状態に戻すことはできません。